中国有色金属学报 2003,(05),1103-1106 DOI:10.19476/j.ysxb.1004.0609.2003.05.010
纳米晶W-La2 O3 电极材料的电弧特性
陈文革 丁秉均 张晖
西安交通大学金属材料强度国家重点实验室,西安交通大学金属材料强度国家重点实验室,西安交通大学金属材料强度国家重点实验室 西安710049 ,西安710049 ,西安710049
摘 要:
采用高能球磨和真空热压烧结工艺制备出块体纳米晶W La2 O3 电极材料 ,研究了不同La2 O3 含量对纳米晶钨电极材料电性能的影响 ,同时用扫描电镜和能谱仪测定了燃弧后电极尖端La的分布及显微组织。结果表明 :纳米晶W La2 O3 电极的电性能优于传统的粉末冶金粗晶电极。当La2 O3 含量在 6 %~ 8%时 ,其热电子发射能力和稳定性最好。
关键词:
钨电极 ;La2O3 ;电弧特性 ;纳米材料 ;
中图分类号: TB383
作者简介: 陈文革(1969),男,讲师,博士研究生.;
收稿日期: 2002-10-30
基金: 国家自然科学基金资助项目 (5 0 0 710 43 );
Arc characteristic of nanocrystalline W-La2 O3 electrode materials
Abstract:
The nanostructured W-La2 O3 electrode materials were fabricated by high energy ball milling and hot pressed sintering in vacuum atmosphere. The influence of content of rare-earth oxide La2 O3 on the electric properties of nanocrystalline tungsten electrode materials was investigated. The microstructure of cathode tip and La distribution after arc burning were observed through SEM and EDX. The results show that, the properties of nanocrystalline W-La2 O3 electrode materials are better than those of traditional coarse -gained W-La electrode. The nanocrystalline electrode materials exhibit the best thermionic electron-emission and stability when the content of La2 O3 is 6%~8%.
Keyword:
tungsten electrode; La2 O3 ; electrical arc characteristic; nanostructured materials;
Received: 2002-10-30
电弧等离子体由于具有很高的热源温度、 能量集中和加热效率高等优点, 被广泛应用于切割、 热喷涂、 焊接、 熔炼、 新材料合成、 超细粉制备、 废水处理等领域
[1 ,2 ,3 ,4 ,5 ,6 ]
。 等离子发生器中的阴极作为这一系统的关键部件, 工作条件十分苛刻, 常常因受到高温辐射和高能离子轰击烧蚀而导致使用寿命缩短, 这严重妨碍了等离子技术的大规模应用。 W-ThO2 电极材料被认为是目前在电弧等离子发生器中应用最广泛的阴极材料
[7 ]
, 但由于Th的放射性污染, 抗烧损性能和稳定性较差, 使其生产和应用受到一定程度的限制。 为此, 从20世纪70年代末期开始, 寻求一种新型的热阴极材料成为研究的热点。 W-La2 O3 电极材料由于具有发射电流大、 抗烧蚀性能好、 无污染, 成为替代W-ThO2 的首选阴极材料
[8 ,9 ,10 ,11 ,12 ,13 ]
。 虽然稀土氧化物的含量越高, 引弧性能越优, 但La含量的增大又给电极材料的加工带来严重的问题。 研究以纳米材料作为一种新颖的结构和功能材料, 目的不仅在于如何将纳米粉体制备成块体的纳米晶材料, 还要充分发挥其超细晶粒的本质作用
[14 ,15 ,16 ]
。 本文作者把W粉和La2 O3 粉进行机械合金化, 用真空热压烧结工艺将其制备成纳米晶块体W-La2 O3 电极材料, 然后测试其电弧特性, 并观察纳米晶及稀土元素的行为和作用机制。
1 实验
1.1 电极材料的制备
实验所用W粉和La2 O3 粉粒度分别为6~8 μm和50.4 μm, 化学成分见表1。 首先将混合粉末在Spex 8000高能球磨机中球磨16 h(球料质量比为10∶1), 然后在真空热压炉中热压烧结(真空度10-2 Pa, 压制压力50 MPa)制得W-4% La2 O3 、 W-6% La2 O3 、 W-8% La2 O3 (质量分数)的纳米晶钨稀土氧化物电极, 最后分别线切割成d 2 mm×50 mm的电极棒。
表1 W粉和La2O3粉的化学成分
Table 1 Compositions of W and La2 O3 powders(mass fraction, %)
Powder
W
Cu
Fe
Cr
Ni
W
Bal.
0.001
0.002
<0.001
0.002
La2 O3
-
0.001
<0.002
0.001
<0.001
Powder
Mn
Si
Ca
La
W
<0.003
<0.001
0.001
-
La2 O3
<0.001
-
-
Difform
1.2 电极电弧性能试验
电极点燃实验及其电弧特性实验均按ISO 6848—1984E(惰性气体保护氩弧焊和等离子切割、 焊接用钨电极棒)进行。 在粗测的起弧电压值附近调节调压器, 以1 V的间隔逐渐升高空载电压, 观察各个电极材料能否成功起弧。 每种电极引弧30次, 高频持续时间为10 s, 起弧电流10 A, 氩气流量6 L/min, 阳极为低碳钢板, 焊接电源采用ZXE 5-315型硅整流焊机(工作频率50 Hz, 三相输入380 V时, 空载电压为76 V)和GNP-300型焊机控制箱(内带高频震荡引弧器)及TSIA 100/0.5行调压器(输入电压三相380 V, 负载电压0~500 V, 工作频率50 Hz)。
1.3 显微组织与成分分析
采用1000-B型扫描电镜和EDX能谱仪观察燃弧后电极尖端的组织形貌和稀土元素La或La2 O3 的分布。
2 结果与讨论
W-La2 O3 电极材料电性能实验结果列于表2。 可以发现, 常规W电极在相同的实验条件下的烧损量最大, 而纳米晶W-La2 O3 电极随着La2 O3 含量的增大, 易起弧且烧损量有减小的趋势。 分析认为, 纳米粒子直径小, 比表面面积大, 使得纳米粒子具有很高的表面活性, 从而使La2 O3 与W发生反应产生单质La的温度降低。 因为低温下活性La元素的蒸发小(见表3), 所以电极具有较长的寿命。 同时, 稀土氧化物含量的增多能有效抑制电极合金的晶粒长大
[11 ]
。 但随着La2 O3 含量增大, W-La2 O3 电极的成型性和加工性变得更加困难
[12 ]
。
表2 W- La2O3电极的电性能
Table 2 Electric properties of W-La2 O3 electrode materials
Electrode materials
Minimum arc starting current/A
Maximum arc gap/ mm
Critical starting voltage/V
Burning loss/ (mg·min-1 )
W
6.2
10.0
34
0.025 1
W-4%La
5.5
12.6
30
0.018 5
W-6%La
5.5
13.0
29
0.006 5
W-8%La
5.5
14.0
31
0.002 6
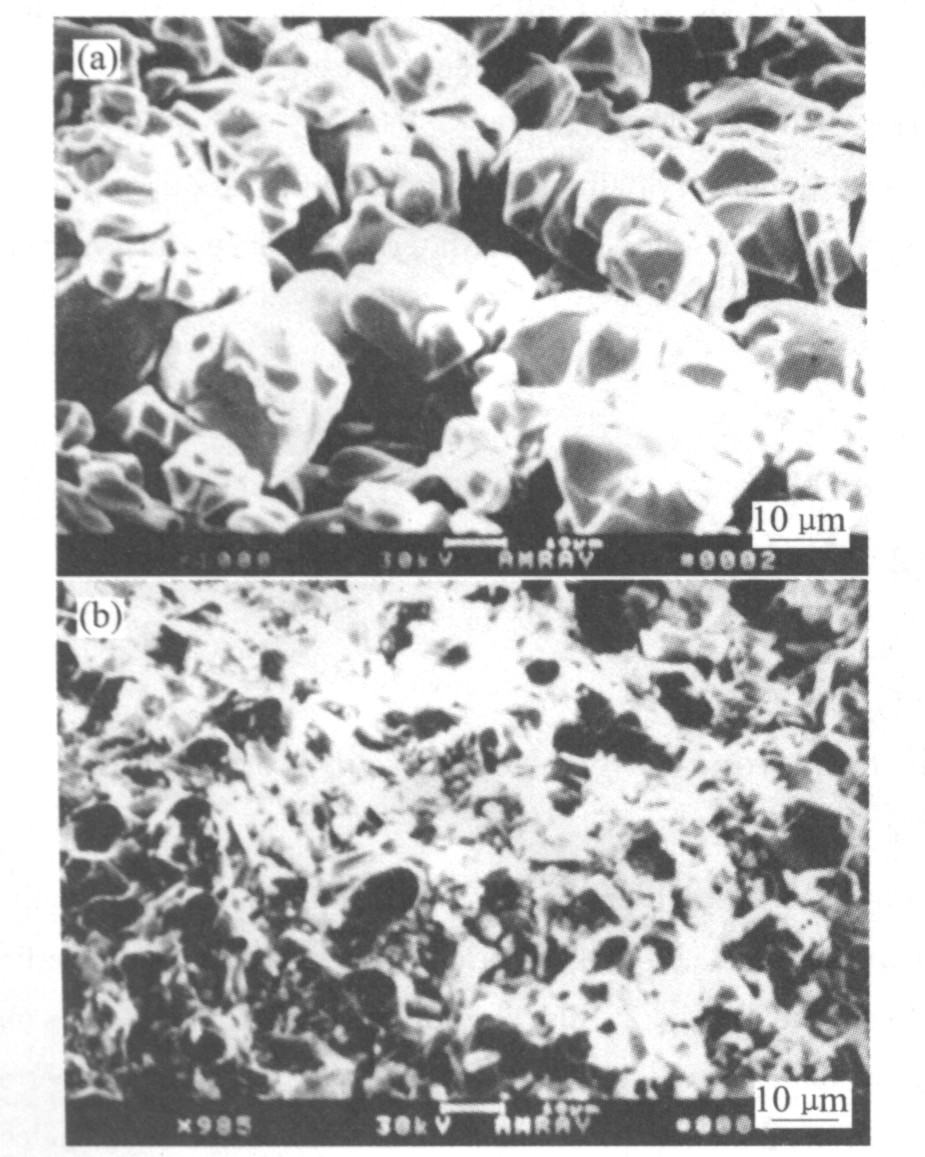
图1所示为纳米晶W-La2 O3 电极和常规W电极烧损后的显微组织。 可以看出: 纳米晶W-La2 O3 电极的烧损在一个较大面积范围内, 而常规W电极的烧损则集中在一个较小的区域内。 这样在相同燃弧条件下, 单位面积上的能量就不同, 导致纳米晶W-La2 O3 电极的烧损量较常规W电极的烧损量少。 同时由图中还可看到, 常规W电极的烧损部位明显出现了变形。 在烧损部位可看到一种特殊的现象, 即在钨电极端部表面出现环状伞行瘤状物(结疤), 这被称之为“Rim”现象
[13 ]
。 而纳米晶W-La2 O3 电极却未出现这种情况, 只是在烧损表面出现不规则、 小而浅的“蚀坑”。
图2所示为燃弧后电极纵向由尖端至中心La 或La2 O3 含量的分布曲线。 可以看出: 3种型号的W-La2 O3 电极沿纵向方向尖端至中心La 或La2 O3 含量逐渐升高, 说明尖端有La 或La2 O3 的烧损或蒸发逸出; 同时, 由所测曲线的变化趋势可知, 存在中心La 或La2 O3 向电极尖端迁移的趋势, 在烧损尖端高温区, La 或La2 O3 蒸发逸出, 中心的La 或La2 O3 迁移补充。 采用扫描电镜观察, 进一步证实了燃弧区La 或La2 O3 的分布状态, 如图3所示。 靠近燃弧区La 或La2 O3 的逸出较多(图中灰黑色的组织较少), 而远离燃弧区La 或La2 O3 的逸出较少(图中灰黑色的组织较多); 同时还发现显微组织(颗粒)有长大迹象。
图1 燃弧后电极尖端的SEM形貌
Fig.1 SEM morphologies in point area of cathode after arc burning (a)—Conventional W electrode; (b)—Nanocrystalline W-La2 O3 electrode
表3 W、 La和La2O3的物理化学性能
Table 3 Physicochemical characteristics of W, La and La2 O3
Material
Melting point/K
Heat of decomposition/kJ
Work function/eV
Specific resistance/ (10-6 Ω·m)
Density/(g·cm-3 )
Heat conductivity/ (W·m-1 ·K-1 )
W
3 683
-
4.50
0.056
19.32
167
La2 O3
2 490
1244.7
8.65
1.0
6.51
-
La
1 193
416.9
3.30
0.0798
6.70
135
图2 燃弧后电极纵向由端部至 中心La含量的变化曲线
Fig.2 Change of La content from point to center in point area of cathode after arc burning
图3 燃弧后纳米晶W-La2O3电极的SEM显微组织
Fig.3 SEM microstructures of W-La2 O3 after arc burning (a)—Vicinity burning arc area; (b)—Removed burning arc area
表4所列为燃弧后尖端径向由边缘至中心La 或La2 O3 的分布, 可以看出, 在电极的烧损表面, 边缘至中心La 或La2 O3 的含量逐渐降低, 且这一趋势很明显, 在边缘La 或La2 O3 含量接近电极材料的真实值, 到中心后La 或La2 O3 含量几乎接近零。 说明电极在燃弧过程中, 不仅纵向有La 或La2 O3 的迁移, 而且横向也有它的迁移。 再者, 电极最外层的La 或La2 O3 含量比所添加的量还要高, 说明电极尖端La 或La2 O3 蒸发逸出后, 又有少量的在其表面沉积。
表4 燃弧后端部径向由边缘至中心La2O3的分布
Table 4 Radial distributions of La2 O3 fromedge to center in point area of cathode afterarc burning(mass fraction, %)
Electrode materials
w (La2 O3 )/%
Average value/%
Edge
Middle
Center
W-4% La2 O3
4.36
0.41
0.11
1.63
W-6% La2 O3
6.11
0.73
0.11
2.32
W-8% La2 O3
8.91
0.89
0.11
3.30
由文献
[
13 ]
可知, 稀土氧化物的补给与蒸发间的平衡是电极实现稳定和长寿命工作的关键。 由表4的数据和图2的曲线可知, La2 O3 由电极的中心逐渐向高温的顶部或端部和边缘迁移, 并由电极表面蒸发。 La2 O3 及其氧化钨酸盐的熔点较高(见表3), 迁移率对蒸发率的补偿较为合理、 稳定, 稀土元素可以源源不断地到达电极尖端, 使电极保持稳定。 此外, W-La电极的功函数低, 容易发射电子, 电流密度高, 起动电压低, 电极端有足够的La2 O3 充当发射体, 因此纳米晶的W-La2 O3 是一种比较理想的电极材料。
参考文献
[1] 吴永康.我国低温等离子体科学技术进展[J].物理,1990,20(2):8084.WUYong kang.Advancesintechnologyoflowtempera tureplasmascience[J].Physics,1990,20(2):8084.
[2] 聂祚仁,周美玲,张久兴,等.稀土钨电极材料及其稀土氧化物的作用[J].稀有金属材料与工程,1997,26(6):15.NIEZuo ren,ZHOUMei ling,ZHANGJiu xing,etal.Tungstenelectrodematerialandeffectofrare earthmetallicoxidesonit[J].RareMetalMaterialsandEngineering,1997,26(6):15.
[3] WANGJin shu,ZHOUMei ling,ZHANGJiu xing,etal.Microstructureandpropertyofmolybdenum preparedbysparkplasmasintering[J].TranNonferrousMetSocChina,2001,11(1):2629.
[4] MabuchiM ,OkamotoK ,SaitoN ,etal.DeformationbehaviorandstrengtheningmechanismsatintermediatetemperaturesinW La2O3[J].MaterialsScienceandEn gineeringA ,1997,237:241249.
[5] 陈文革,张 晖,丁秉均.纳米晶W La2O3电极材料的形成与烧结行为[J].稀有金属材料与工程,2003,33(2):5559.CHENWen ge,ZHANGHui,DINGBing jun.Prepara tionandsinteringbehaviorofnanocrystallineW La2O3electrodematerials[J].RareMetalMaterialsandEngi neering,2003,33(2):5559.
[6] 陈文革,张 晖,丁秉均.纳米W La2O3电极材料的研究进展[J].兵器材料科学与工程,2002,25(4):6164.CHENWen ge,ZHANGHui,DINGBing jun.Ad vancesinstudyonW La2O3 electrodematerials[J].Ord nanceMaterialScienceandEngineering,2002,25(4):6164.
[7] ZhangH ,ChenXF ,YangZM ,etal.W ThO2thermioniccathodeactivatedwithnanoscaleoxide[J].MaterialsLetters,1999,38:401405.
[8] JerryPW ,NiehTG ,WadsworthJ.Tungstenandal loys[J].AdvancedMaterials&Process,1992(9):28.
[9] CHENZhong chun,ZHOUMei ling,ZUOTie yong.Morphologicalevolutionofsecond phaseparticlesduringthermomechanical processingofW La2O3 alloy[J].ScriptaMater,2000,43:291297.
[10] KnightR ,SmithRW ,ApeliannD .Applicationofplasmaarcmeltingtechnologytoprocessingofreactivemetals[J].InternationalMaterialsReviews,1991,36(6):221252.
[11] 贾佐成,康庄华,齐燕波,等.新型稀土电极材料[J].粉末冶金技术,1993,11(3):196200.JIAZuo cheng,KANGZhuang hua,QIYan bo,etal.Newrare earthelectrodematerials[J].PowderMetal lurgyTechnology,1993,11(3):196200.
[12] PierreF ,ArmelleV .Thermalplasma[J].IEEETransactiononPlasmaScience,1997,25(6):12581280.
[13] HerberleinJVR .Plasmaandsynthesisofmaterials[A].InternationalConference[C].NewYork:1984.101.
[14] SadekAA ,Ushiom,MatesudaF .Effectofrareearthmetaloxideadditionstotungstenelectrodes[J].Metal lurgicalTransactionsA ,1990,21A :32213236.
[15] 张立德,牟季美.纳米材料和纳米结构[M ].北京:科学出版社,2001.ZHANGLi de,MOUJi mei.NanostructuredMaterials[M].Beijing:SciencePress,2001.
[16] KimYD ,ChungJY ,KimJY ,etal.FormationofnanocrystallineFeCopowdersproducedbymechanicalalloying[J].MaterialsScienceandEngineeringA ,2000,291:1721.