
Effect of porosity on damping behavior of aluminum matrix-fly ash composites
DOU Zuo-yong(窦作勇), WU Gao-hui(武高辉), JIANG Long-tao(姜龙涛),
DING Bai-suo(丁佰锁), CAO Jin-hua(曹金华)
Center for Metal Matrix Composites Engineering Technology,
Harbin Institute of Technology, Harbin 150001, China
Received 28 July 2006; accepted 15 September 2006
Abstract: The hollow sphere fly ash/6061Al composite with about 43% porosity in volume fraction (produced by the addition of hollow sphere fly ash particles) was fabricated by squeeze casting technique. Using the same technique, the fly ash/7075Al composite with all the porosity in hollow sphere fly ash infiltrated by molten aluminum was fabricated for partially studying the effect of porosity on the damping behavior of the fly ash/Al composites. The resonant damping capacity of the ‘porous’ fly ash/6061Al composite reached (20.2-26.9)×10-3 and was about 8 times of the value tested by forced vibration method (in the frequency range 0.2-2 Hz). However, the damping capacity of the as-received 6061Al and the ‘dense’ fly ash/7075Al composite were consistent by the two testing methods and were in the range of (1.1-7.7)×10-3. The effect of temperature on the damping behavior of the materials was also studied. The related damping mechanisms have also been discussed in light of data from the characterization of microstructure and damping capacity. Due to the inferior mechanical properties of the fly ash particles, the tensile strength of the FA/Al composites was lower than that of the corresponding aluminum alloy matrix and was 70.1 MPa and 180.6 MPa for the ‘porous’ fly ash/6061Al and ‘dense’ fly ash/7075Al composite, respectively.
Key words: metal matrix composites; porous material; fly ash; damping properties
1 Introduction
The aluminum alloy-fly ash(FA) composites are with low density, low cost, and improved wear resistance [1-3]. The composites can find potential applications in automotive, aerospace components, machine parts, sporting goods and electronic packaging [3]. The microstructure, mechanical properties and age-hardening characteristics of the aluminum alloy-FA composites have been investigated in Refs.[1-4]. Also, the composites have high-energy absorption capacities and can be used for energy-absorbing applications, e.g., for packaging, armor, or automotive applications[5-6]. In addition, the composites have high vibrational damping capacities[5,7]. But almost no paper reports the damping properties of the aluminum alloy-FA composites. As an important parameter of structural materials, the damping properties of this multi-functional composite are needed to study. The main aim of this paper is to investigate the damping properties of the FA/Al composites and discuss the effect of porosity on the damping characteristic of the aluminum alloy-FA composites.
2 Experimental
2.1 Specimen preparation
The commercial 6061Al, 7075Al alloy and the as-received FA particles with the diameter range of 10-390 μm were used as the matrix and reinforcement separately. The FA/6061Al composites were prepared using squeeze casting technology and a vertical pressure was applied to force molten aluminum to infiltrate into the FA perform completely. By increasing the vertical pressure, the FA particulates can be fully infiltrated by molten aluminum. Using this method, the FA/7075Al composite was prepared for partially studying the effect of porosity on damping properties of the FA/Al composites. The volume fractions of FA particles in the two composites were set to be the same. The pressure was maintained for about 5 min until the solidification was completed.
The specimens used for damping test were cut by using an electric sparking machine. The FA/Al composites were all in as-fabricated state. The dimensions of the specimen are 0.8 mm in thickness, 2.0 mm in width and 70 mm in length.
2.2 Fly ash particulate volume fraction
The density of the FA/6061Al composites was measured using the drainage method and the FA particles on the Autosorb-1 Surface Area and Pore Size Analyzers. So the FA particulates volume fraction can then be obtained as
(1)
where φfFA denotes the volume fraction of FA particles; ρMMC is the density of the metal matrix composite(MMC), which is 1.45 g/cm3 for FA/6061Al composite. ρFA is the real density of the as-received hollow sphere FA particles and the value is 0.745 g/cm3, while the ρAl, the density of the commercial 6061Al, is 2.7 g/cm3. Using Eqn.(1), the volume fraction of FA particles can be calculated to be 63.9% for the FA/6061Al composite. As the volume fraction of FA particles has been set to be the same during the preparation of the FA/Al composites, the volume fraction of FA particles in the FA/7075Al composite was about 64%.
2.3 Microstructure characterization
An optical microscope was used to examine the microstructure of as-fabricated FA/6061Al and FA/ 7075Al composites. The observations were conducted on polished samples.
2.4 Mechanical property testing
The tensile and three-point bending tests were conducted at ambient temperature using Instron5569 universal test machine. The effective parts of the flake tensile specimens are all 5 mm-wide, 2 mm-thick and 12 mm-long. The three-point tests specimens are all 4 mm-wide, 3 mm-thick and 36 mm-long. The span of three-point tests is 30 mm. Each tensile and bending strength value was the average of at least six measurements. The mechanical properties of the composites are listed in Table 1. The fracture surfaces of FA/Al composites were studied by S-4700 scanning electron microscope (SEM).
Table 1 Mechanical properties of FA/Al composites (T6)

2.5 Damping measurements
Two vibration modes were used to study the damping behaviors of the as-received 6061Al, the FA/6061Al and FA/7075Al composites in different frequency ranges. In the forced vibration mode, the specimen was fixed on an inverted torsion pendulum. The detailed set-up and testing procedure has been described in Ref.[8] and the tested frequency was in the range of 0.2-2 Hz. While in the resonant bending- vibration mode, the specimen was supported by the flexible thread (to be a free-free bar), which was depicted by LIU et al[9] in detail. The tested frequency was the resonant frequency of the specimen about 300-500 Hz.
In the forced vibration mode, the tan Φ was used to denote the damping capacity of the materials, where Φ was the angle that strain phase lags behind the stress phase. Correspondingly, the resonant damping capacity of the materials was calculated using the following equation:
(2)
where Q-1 is an inverse quality factor; Δf is the difference of frequencies associated with the half amplitude points for a resonant frequency of fr; fr is resonant frequency.
3 Results and discussion
3.1 Microstructure characterization
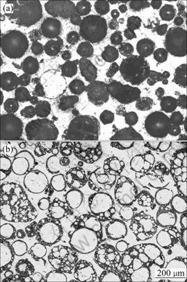
Fig.1 shows the optical micrographs of the FA/6061Al (Fig.1(a)) and FA/7075Al (Fig.1(b)) composites. The hollow sphere FA particles distributed uniformly in the aluminum alloy matrix and few FA particles were infiltrated by aluminum (Fig.1(a)). By contrast, the FA particles in FA/7075Al composite were nearly all infiltrated by the matrix alloy, leading to the porosity in FA particles was eliminated (Fig.1(b)). From Fig.1(b), the microstructure of the FA particles can also be seen clearly. The FA particles mainly contain central holes and the thin shells that still contain some smaller, anomalous holes. The thickness of the shell is about 5-10 μm. The volume fraction of the voids in the FA particles was calculated to be 67.3% by using the same way described in Ref.[10]. Supposing the FA/6061Al composite was dense and the FA particles was not infiltrated by the matrix alloy, and then the volume fraction of porosity in the 63.9l% FA/6061Al composite was calculated to be 43%.
3.2 Mechanical properties
Table 1 shows the mechanical properties of the FA/6061Al and FA/7075Al composites. The tensile strength and three-point bending strength of FA/7075Al composite were nearly twice of that of FA/6061Al composite. As shown in Table 1, the mechanical properties of the FA/Al composites were inferior to those of the corresponding matrix alloy due to the poor mechanical properties of the FA particles. Because the crystallinity studies has indicated that the FA particles contains crystalline and amorphous phases and with total crystalline phase less than 40%[10], suggesting that the mechanical properties of the FA particles are inferior to usual ceramic particulates such as SiC and Al2O3. Although the mechanical properties of the “porous” FA/6061Al composite were inferior to that of common MMCs, they were much higher than common foamed alloys (usually with σb less than 5 MPa[11]). With denser microstructure, the mechanical properties of the FA/7075Al composite were higher than those of the ‘porous’ FA/6061Al composite.

Fig.1 Optical micrographs of as-fabricated composites: (a) FA/6061Al composite; (b) FA/7075Al composite
Fig.2 shows the fractographs of the FA/6061Al and FA/7075Al composites. The FA particles were nearly all fractured and almost no particles were pulled out from the matrix alloy (Fig.2(a)), indicating that most of the interfaces between the FA and the matrix alloy were in good bond except for some casting defects at the boundaries of two or more FA particles, as shown in the framed area in Fig.2(a). For the FA/7075Al composite, some of the FA particles were pulled out from the aluminum matrix and with almost no particles fractured (Fig.2(b)). Since the matrix alloy has infiltrated into the FA particles, as shown in Fig.1(b), the FA particles became a composite sphere, which have higher strength than the matrix alloy. So the fracture of the matrix alloy and the interface between the FA and the matrix alloy led to fracture of the FA/7075Al composite. Strong deformation has happened near the interface area, indicating that the interface bonding was also well.

Fig.2 Fractographs of composites: (a) FA/6061Al composite; (b) FA/7075Al composite
3.3 Damping capacity
3.3.1 Effect of frequency on damping
The internal friction (tanΦ) of the as-received 6061Al, as-fabricated FA/6061Al and FA/7075Al composites measured in the forced vibration mode is shown in Fig.3. The tan Φ of the materials was almost frequency independent in the tested frequency range of 0.2-2 Hz. The damping capacity of the FA/6061Al composite was in the range of (2.2-3.6)×10-3, which was about 2 times of the as-received 6061Al and FA/7075Al composite.
The resonant damping capacity(Q-1) of the as- received 6061Al, as-fabricated FA/6061Al and FA/7075Al composites is shown in Fig.4. Using the equation in Ref.[9], the resonant frequency was calculated to be 421, 357 and 404 Hz for the as-received 6061Al, FA/6061Al and FA/7075Al composites respectively. The FA/6061Al composite has the highest damping capacity and with the Q-1 value range of (20.2-26.9)×10-3. For the ‘dense’ materials, the as- received 6061Al and FA/7075Al composite, the Q-1 is relatively low and in ranges of (3.2-7.7)×10-3 and (1.4-1.7)×10-3 respectively.

Fig.3 Comparison of damping capacity of as-received 6061Al, FA/6061Al and FA/7075Al composites (ε=10-5, at ambient temperature)

Fig.4 Resonant damping capacity of as-received 6061Al, FA/ 6061Al and FA/7075Al composites (at ambient temperature)
As stated in Refs.[12-13], the tan Φ is equal to Q-1. This is fit for the as-received 6061Al and the ‘dense’ FA/7075Al composite since their Q-1 values are consistent with the tan Φ values tested in the frequency range of 0.2-2 Hz. But for FA/6061Al composite, the average Q-1 value is about 8 times of that of tan Φ, suggesting the damping mechanism of the ‘porous’ FA/6061Al composite is different with the ‘dense’ materials, herein the as-received 6061Al and the ‘dense’ FA/7075Al composite.
3.3.2 Effect of temperature on damping
Fig.5 shows the internal friction (tan Φ) of the as- received 6061Al-T6, as-cast FA/6061Al and FA/7075Al composites in the temperature range of 20-450℃ measured in the forced vibration mode. The internal friction of the as-received 6061Al-T6 and FA/7075Al composite is similar and the FA/6061Al composite has the higher internal friction. The internal friction of the FA-aluminum composites and the as-received 6061Al-T6 were observed to be temperature independent at temperatures below approximately 100 ℃. But above 100 ℃, the FA/6061Al composite becomes more temperature sensitive than the other two materials.

Fig.5 Damping capacity of as-received 6061Al-T6, FA/6061Al and FA/7075Al composites (ε=10-5, f=1 Hz)
3.4 Discussion
Many factors will affect the damping capacity of the MMCs such as the particle type, the volume fraction, the size and shape of the particles[13]. In addition, the processing of materials and the testing conditions that contain the temperature, the frequency and the amplitude can also affect the damping behavior of the MMCs [8,13]. The damping mechanisms of the MMCs usually contain the intrinsic damping, the thermoelastic damping, grain boundary damping, interface damping and the dislocation damping[8,14]. The following sections will discuss the factors that affect the damping behaviors of the tested materials under different testing conditions.
3.4.1 Damping at ambient temperature
Among the mentioned damping mechanisms, the grain boundary damping and the interface damping were usually regarded as thermally activated, so they were not dominant at ambient temperature. As the FA is a complex glass-ceramic consisting of Al2O3, SiO2, FeO, K2O and other oxides[10], suggesting the low intrinsic damping of the FA. Unlike the usual SiC or C continuous fiber reinforced aluminum alloy composites[14], the dislocation density in the as-cast and age-hardening 5% (mass fraction) FA/Al composites were found to be very low due to the sphere shape and elastic property of the FA particles[2]. By using similar FA particles, the dislocation density in the FA/6061Al and FA/7075Al composites would be relatively low, leading to low dislocation damping. This is also in accordance with the experimental results (Fig.3) since the internal friction of the FA/7075Al composite was similar to that of the as-received 6061Al. With some cast defects at the high particle concentration regions in the FA/6061Al composite, as shown in Fig.2(a), the relative motion of the FA particles happens easier at such regions, thus increasing the damping capacity. This may explain the higher damping capacity of the FA/6061Al composite than that of the FA/7075Al composite.
Although the thermoelastic damping due to materials heterogeneity was considered to be an important source of the total damping of the composite when the specimen was subjected to the inhomogeneous stress field[15-16], herein the thermoelastic damping of the FA/6061Al composite was calculated using the Zener model[15] and the calculated value was 2.6×10-4 that can be neglected by comparing with the resonant damping capacity(Q-1) of the FA/6061Al. With similar volume fraction of FA particles, the thermoelastic damping in the FA/7075Al composite is also very small and this is consistent with the tested results, as shown in Fig.4.
In addition to the factors mentioned above, another factor has to be considered. Since there is some air or gas in the hollow sphere particles[17] and the volume fraction of the air or gas in the FA/6061Al composite was 43%, as calculated in section 3.1, the air or gas would affect the damping behavior of the porous FA/6061Al composite. In the resonant bending vibration mode, the vibration frequency was hundreds of Hz and the relative motion between the gas in the hollow sphere and the FA shells would be high. As a consequence, there will be an impedance mismatch to vibration movement between the gas and the FA shells, leading to the dissipation of the mechanical energy thus increasing the resonant damping capacity (Q-1) of the FA/6061Al composite. Relatively, the deformation mismatch model was used to explain the contribution of air to the internal friction of the foamed aluminum[18]. However, the detailed mechanism was more complex and further study was needed.
Table 2 shows the comparison of the resonant damping capacity of the FA/6061Al composite and the damping capacity of other foamed or porous materials. As shown in Table 2, the resonant damping capacity of FA/6061Al composite is superior to other porous metallic materials, indicating that the FA/6061Al composite is promising for the use as a kind of high damping materials under certain circumstances.
3.4.2 Damping at higher temperature
Table 2 Comparison resonant damping capacity of FA/6061Al composite with other investigations

The mechanisms responsible of the low temperature (<400 K) damping behavior of MMCs are the dislocation creation and motion in the matrix, around the reinforcements[14]. As the temperature increases, the exponential background is assumed to be caused by dislocations moving in a viscous medium and interacting more or less with point defects[13]. With relatively low dislocation density in the FA/Al alloy composites, as analyzed in the former part, no distinct internal friction peak has emerged in the mechanical loss spectrum, as shown in Fig.5. In the FA/6061Al composite, there were some voids among a cluster of several FA particles, as stated in section 3.2, leading to inferior interface bond with the matrix alloy. The interface slip was easier to happen at such inferior bonding interfaces, thus leading to higher damping capacity than that of FA/7075Al composite.
4 Conclusions
1) The damping behavior of the ‘porous’ FA/6061Al composite varied by using the forced vibration and resonant bending-vibration method, respectively, but similar phenomenon has not been found in the as-received commercial 6061Al and ‘dense’ FA/7075 composite.
2) The resonant damping capacity of the ‘porous’ FA/6061Al composite reaches (20.2-26.9)×10-3, which is about 8 times of the average value of tan Φ tested by the forced vibration method. The resonant damping capacity of the ‘porous’ FA/6061Al composite is more than 4 times of the as-received 6061Al and nearly 15 times of the ‘dense’ FA/7075Al composite.
3) The dislocation damping mechanism is regarded to be responsible for the mechanical loss spectrum with increasing temperature. Due to the inferior mechanical properties of the FA particles, the mechanical properties of the FA/Al composites are lower than those of the corresponding matrix alloys and are 70.1 MPa and 180.6 MPa for the ‘porous’ fly ash/6061Al composite and ‘dense’ fly ash/7075Al composite, respectively.
References
[1] ROHATGI P K, GUO R Q, IKSAN H, BORCHELT E J, ASTHANA R. Pressure infiltration technique for synthesis of aluminum-fly ash particulate composite [J]. Mater Sci Eng A, 1998, A244: 22-30.
[2] ROHATGI P K, KIM JK, GUO R Q, ROBERTSON D P, GAJDARDZISKA-JOSIFOVSKA M. Age-hardening characteristics of aluminum alloy-hollow fly ash composites [J]. Metall Mater Trans A, 2002, 33A: 1541-1547.
[3] GIKUNOO E, OMOTOSO O, OGUOCHA I N A. Effect of fly ash addition on the magnesium content of casting aluminum alloy A535 [J]. J Mater Sci, 2004, 39: 6619-6622.
[4] DORIAN K B, DAVID C D. Load partitioning in aluminum syntactic foams containing ceramic microspheres [J]. Acta Mater, 2006, 54: 1501-1511.
[5] KISER M, HE M Y, ZOK F W. The mechanical response of ceramic microballoon reinforced aluminum matrix composites under compressive loading [J]. Acta Mater, 1999, 47(9): 2685-2694.
[6] BALCH D K, O’DWYER J G, DAVIS G R, CADY C M, GRAYⅢ G T, DUNAND D C. Plasticity and damage in aluminum syntactic foams deformed under dynamic and quasi-static conditions [J]. Mater Sci Eng A, 2005, A391: 408-417.
[7] HE M Y, KISER M, WU B, ZOK F W. Influence of thermal expansion mismatch on residual stresses and flow response of microballoon composites [J]. Mech Mater, 1996, 23: 133-146.
[8] WEI J N, CHENG H F, ZHANG Y F, HAN F S, ZHOU Z C, SHUI J P. Effects of macroscopic graphite particulates on the damping behavior of commercially pure aluminum [J]. Mater Sci Eng A, 2002, A325: 444-453.
[9] LIU C S, ZHU Z G, HAN F S, BANHART J. Internal friction of foamed aluminum in the range of acoustic frequencies [J]. J Mater Sci, 1998, 33: 1769-1775.
[10] MATSUNAGA T, KIM J K, HARDCASTLE S, ROHATGI P K. Crystallinity and selected properties of fly ash particles [J]. Mater Sci Eng A, 2002, A325: 333-343.
[11] DEGISCHER H P, KRISZT B. Handbook of Cellular Metals [M]. ZUO X Q, ZHOU Y, transl. Beijing: Chemical Industry Press, 2005: 147-150. (in Chinese)
[12] NOWICK A S, BERRY B S. Anelastic Relaxation in Crystalline Solid [M]. New York: Academic Press, 1972: 55-56.
[13] RIVI?RE A. Mechanical Spectroscopy Q-1 2001 [M]. Trans Tech Publications, 2001: 272-275.
[14] CARRE?O-MORELLI E. Mechanical spectroscopy Q-1 2001 [M]. Trans Tech Publications, 2001: 571-580.
[15] KINRA V K, MILLIGAN K B. A second-law analysis of thermoelastic damping [J]. J Appl Mech, 1994, 61: 71-76.
[16] PANTELIOU S D, DIMAROGONAS A D. Thermodynamic damping in porous materials with ellipsoidal cavities [J]. J Sound and Vibration, 1997, 201: 555-565.
[17] BAUMEISTER E, KLAEGER S, KALDOS A. Lightweight, hollow-sphere-composite(HSC) materials for mechanical engineering applications [J]. J Mater Process Technol, 2004, 155-156: 1839-1846.
[18] YU X Q, HE D P. Research on the mechanical damping properties of metallic foams [J]. Mater Mech Eng, 1994, 18: 26-32. (in Chinese)
[19] BANHART J, BAUMEISTER J, WEBER M. Damping properties of aluminum foams [J]. Mater Sci Eng A, 1996, A205: 221-228.
(Edited by HE Xue-feng)
Corresponding author: DOU Zuo-yong; Tel/Fax: +86-451-86412164; E-mail: dzyong_79@sohu.com