TC4-DT钛合金热机械处理后的组织特征和力学性能
来源期刊:中国有色金属学报(英文版)2014年第3期
论文作者:彭小娜 郭鸿镇 石志峰 秦 春 赵张龙
文章页码:682 - 689
关键词:TC4-DT钛合金;热机械处理;显微组织;拉伸性能
Key words:TC4-DT titanium alloy; thermomechanical treatment; microstructures; tensile properties
摘 要:研究热机械处理(两相区变形加普通退火、双重退火、固溶时效以及三重退火)对TC4-DT钛合金组织和力学性能的影响。结果表明,热机械处理对显微组织参数影响显著,随着退火和时效温度的升高及冷却速度的降低,初生α相的体积分数和原始β晶粒的尺寸降低,而晶界α和次生α相的宽度却升高。由于固溶时效处理获得了大量的β转变组织和细小的晶界α相和次生α相,合金强度最高,但伸长率不及其它条件的,其断裂强度、屈服强度、伸长率和断面收缩率分别为1100 MPa、1030 MPa、13%和53%,双重退火获得了良好的强度和塑性匹配,合金力学性能分别为940 MPa、887.5 MPa、15%和51%。组织参数和性能的关系表明,随着β转变组织的增多和原始β晶粒尺寸的增大,材料的强度和断面收缩率升高,而晶界α相和二次α相的宽度对力学性能的影响却呈相反趋势。此外,晶界α相含量的减少和原始β晶粒尺寸的降低有助于塑性的提高。
Abstract: Influence of thermomechanical treatments (mill annealing, duplex annealing, solution treatment plus aging and triple annealing) on microstructures and mechanical properties of TC4-DT titanium alloy was investigated. Results showed that thermomechanical treatments had a significant influence on the microstructure parameters and higher annealing and aging temperature and lower cooling rate led to the decrease of the volume fraction of primary α and the size of prior-β and the increase of the width of grain boundary α and secondary α. The highest strength was obtained by solution treatment and aging due to a large amount of transformed β and finer grain boundary α and secondary α at the expense of slight decrease of elongation and the ultimate strength, yield strength, elongation, reduction of area were 1100 MPa, 1030 MPa, 13% and 53% separately. A good combination of strength and ductility has been obtained by duplex annealing with the above values 940 MPa, 887.5 MPa, 15% and 51% respectively. Analysis between microstructure parameters and tensile properties showed that with the volume fraction of transformed β phase and the prior-β grain size increasing, the ultimate strength, yield strength and reduction of area increased, but the elongation decreased. While the width of grain boundary α and secondary α showed a contrary effect on the tensile properties. Elimination of grain boundary α as well as small prior-β grain size can also improve ductility.
Trans. Nonferrous Met. Soc. China 24(2014) 682-689
Xiao-na PENG, Hong-zhen GUO, Zhi-feng SHI, Chun QIN, Zhang-long ZHAO
School of Materials Science and Engineering, Northwestern Polytechnical University, Xi’an 710072, China
Received 20 March 2013; accepted 30 November 2013
Abstract: Influence of thermomechanical treatments (mill annealing, duplex annealing, solution treatment plus aging and triple annealing) on microstructures and mechanical properties of TC4-DT titanium alloy was investigated. Results showed that thermomechanical treatments had a significant influence on the microstructure parameters and higher annealing and aging temperature and lower cooling rate led to the decrease of the volume fraction of primary α and the size of prior-β and the increase of the width of grain boundary α and secondary α. The highest strength was obtained by solution treatment and aging due to a large amount of transformed β and finer grain boundary α and secondary α at the expense of slight decrease of elongation and the ultimate strength, yield strength, elongation, reduction of area were 1100 MPa, 1030 MPa, 13% and 53% separately. A good combination of strength and ductility has been obtained by duplex annealing with the above values 940 MPa, 887.5 MPa, 15% and 51% respectively. Analysis between microstructure parameters and tensile properties showed that with the volume fraction of transformed β phase and the prior-β grain size increasing, the ultimate strength, yield strength and reduction of area increased, but the elongation decreased. While the width of grain boundary α and secondary α showed a contrary effect on the tensile properties. Elimination of grain boundary α as well as small prior-β grain size can also improve ductility.
Key words: TC4-DT titanium alloy; thermomechanical treatment; microstructures; tensile properties
1 Introduction
Titanium alloys have been widely used in aerospace and industrial applications due to their high strength, low density, and good corrosion resistance [1,2]. TC4-DT is an α+β titanium alloy produced based on TC4 with the volume fraction of C, N, O and H in a controlled level at an expectation to attain high fracture toughness and crack propagation resistance which is similar to the American alloy Ti-6Al-4V ELI alloy [3]. Depending on thermomechanical treatments, this alloy can acquire a large variety of microstructures with different α morphologies which pose different influence on mechanical properties [4]. Microstructure of alloys depends mainly on chemical composition, processing history and heat treatment, which finally decides the properties of alloys [5-7]. The control of these processes can be realized by the selection of the parameters of heat treatment such as temperature, holding time and cooling rate [8]. As a common sense, the transformation of β phase is decided by the cooling rate, the relative volume fraction of α and β phase is decided by the temperature and the morphology of α phase is decided by the primary microstructure and holding time during heat treatment. For the α+β titanium alloy, deformation and heat treatment in α+β phase field will change from equiaxed to bi-modal microstructure. A bi-modal microstructure was reported to have advantages in terms of yield stress, tensile stress, ductility and fatigue stress [9]. Previous studies mainly focused on the relationship between mechanical properties and thermo-mechanical processing in α+β phase field of fully lamellar microstructures, and less research involved the initial equiaxed microstructures.
The aim of the present study was the determination of the relationship between heat treatment conditions and microstructures and the effect of microstructure parameters on the mechanical properties of TC4-DT titanium alloy. Optical microscopy, X-ray diffraction (XRD), transmission electron microscopy (TEM), image analysis software and static tensile test were utilized to study the microstructure evolution during thermomechanical treatments and intrinsic mechanisms between microstructures and mechanical properties.
2 Experimental
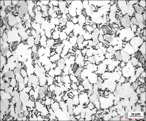
The as-received material used in this work was a TC4-DT hot-rolled bar with a diameter of 215 mm from which cuboid specimens (30 mm×14 mm×66 mm) were spark machined. The chemical composition of TC4-DT titanium alloy is listed in Table 1, and the β transus temperature (Tβ) of the material obtained by metallographic technique was 975 °C. The microstructure of the hot-rolled bar is shown in Fig. 1. It has a fully homogeneous equiaxed microstructure, consisting of 70% primary α phase with the average grain size of 9 μm and transformed β with secondary lamellar α thickness of 1.4 μm.
Table 1 Chemical composition of TC4-DT titanium alloy (mass fraction, %)


Fig. 1 Optical micrograph of TC4-DT hot-rolled bar
Hot compression and heat treatments were conducted with the scheme shown in Table 2. Hot compression was finished on a computer-controlled 630 t hydraulic press which allowed the specimens to be pressed at a constant strain rate.
Table 2 Deformation and heat treatment scheme for various specimens

The heat treatments were conducted in resistance furnace with temperature error of ±5 °C, including mill annealing (MA, specimen B), duplex annealing (DA, specimen C), solution treatment and aging (STA, specimen D) and triple annealing (TA, specimen E). After the furnace heat treatment, each specimen was machined to two cylinders with 71 mm in height and 10 mm in diameter to remove the oxygen-contamination surface layer and prepared for the tensile test. The tensile tests were executed on the ENST-1196 stretcher at room temperature, and the stretch direction of tensile test is vertical to the compression of specimen. Each result was the mean value obtained from two tested specimens. The microstructure obtained from the end of tensile specimen was observed using the OLYMPUSPM-G3 microscope. The samples were etched with 3%HF+6%HNO3+91% H2O solution.
3 Results and discussion
The tensile properties of specimens B, C, D and E are summarized in Table 3. For comparison, the tensile property of an additional specimen (marked as A) which had gone through deformation (940 °C, 60%, AC) without heat treatment is also listed. As shown in Table 3, after different heat treatments, the tensile strength increases but elongation decreases with different contents. For specimen B, the ultimate strength (UTS) is 932.5 MPa, which has only a slight edge to that of the specimen A, while the yield strength (YS), elongation, reduction of area (RA) are not as high as those of specimen A. When the specimen D went through, the UTS increases greatly from 927.5 MPa to 1100 MPa, and the YS increases from 870 MPa to 1030 MPa, while the reduction of area increases slightly from 50.25% to 53%, and elongation decreases from 15.75% to 13% which is the lowest among all these treatments. When the cooling rate decreases (air cooling ) after high temperature aging at 930 °C in the duplex annealing compared with solution treatment (water cooling), the strength declines but is still superior to that of specimen A, with UTS, YS, elongation, reduction of area 940MPa, 887.5MPa, 15%, 51%, respectively. Triple annealing has not enhanced the property so much, improving only a little of strength, but decreasing the ductility.
Table 3 Tensile properties of specimen

Above all, solution treatment and aging is the most effective way to raise strength at the expense of a slight decrease in ductility. Duplex annealing can improve both the ductility and strength with the extent not so much as the former.
The mechanical properties of specimen are closely related to the microstructure characteristics. Figure 2 shows the final microstructures and X-ray diffraction patterns after different heat treatments. It can be seen that heat treatments have a significant influence on the microstructure as shown in Figs. 2(a)-(e), but have a minor influence on the micro-constitutes as shown in Fig. 2(f). Comparing Fig. 2(a) with Fig. 2(b), it can be found that after MA, the appearance of microstructure has not changed so much. The difference lies in the fact that the content of primary α increases and the grain becomes coarser. However, the size of secondary α phase in β matrix increases. The reasons for the difference can be ascribed to the element diffusion effect that takes place during annealing process [10]. Those elements that are either strong α stabilizers (Al, O) or strong β stabilizers (Mo, V) partition into α and β phases, respectively. This element partitioning effect has its consequence that α phase penetrates along β/β or α/β grain boundaries into β phase causing the decrease of β and the coarsening of α phase. This process can proceed deeply during the following cooling [8]. Besides that, secondary α precipitates and grows through the β matrix during the following cooling.

Fig. 2 Optical micrographs showing final microstructures of sample A without heat treatment (a) and samples B, C, D, E with different heat treatments of MA (b), DA (c), STA (d), TA (e) and XRD patterns of samples B, C, D and E (f)

Fig. 3 TEM image of deformed specimen at 930 °C with water cooling
Figure 2(c) shows the microstructure of specimen by DA. It is the so called bi-modal microstructure with equiaxed primary α and small recrystallized β grains. The plastic deformation (more than 60%) at 945 °C has introduced enough stored energy (dislocations shown in Fig. 3) which is sufficient to trigger recrystallization of both α and β phases during the first step of (930 °C, 1 h) and this process produces equiaxed α at the triple junctions of the equiaxed β grains. Alloying element partition also takes place just as discussed above, but in the opposite direction, that is β phase penetrates along α/α or α/β grain boundaries into α phase and causes the separation of α phase into individual α grain. As discussed by SAUER and LUETJERING [11], the volume fraction of primary α phase is determined by the temperature of the first annealing, and the size as well as volume fraction of the α phase controls the β grain size. The α pins the β grain boundaries, restricting β grain growth during the first step of DA, which is similar to the results obtained by MEYER et al [12] and also described by VO et al [13]. During the subsequent cooling, primary α phase grows, continuous α layers form at β-grain boundaries and coarse α plates in β phase start to nucleate, all of which depend on the cooling rate. In this experiment, grain boundary α does not appear clearly during the cooling of the first annealing due to the fast cooling rate. Figure 4(a) shows the microstructure of specimen after the first step of (930 °C, 1 h) and air cooling. It is seen that the grain boundary α is not distinct, the volume fraction and size of equiaxed α are less compared with the microstructure in Fig. 2(b) and β phase transforms to basket-weave microstructures, and when this microstructure goes through the low temperature aging, grain boundary α and secondary α phase in β matrix precipitate. Noticeably, most of α colony size in bi-modal microstructure is equal to the β grain size.

Fig. 4 OM micrographs of specimen after the first step before low temperature aging
Microstructure of samples incurring STA shown in Fig. 2(d) consists of equiaxed α phase and transformed β in which needle-like α phase or martensite α′ phase emerges. Grain boundary α is hard to be distinguished. Due to the faster cooling rate after the first solution treatment of (930 °C, 1 h) and water cooling, the microstructure is fairly different from that of duplex annealing, the size and volume fraction of equiaxed α phase decrease and the secondary α phase shows needle-like (or acicular) instead of platelet morphology. However, what happened during the soaking at (930 °C, 1 h) is totally the same to the DA which shows the significant effects of different cooling rates on the microstructures. Water cooling restrains the precipitation of grain boundary α and the growth of equiaxed α, prevents the transformation of β phase into platelet α, and changes the diffusion controlled transformation into the diffusionless one. Hence, the resulted microstructure of water cooling (see Fig. 4(b)) is equiaxed α and α′+β [14]. VENKATESH et al [7] found that after water quenching at a high temperature in α+β phase field and subsequent aging at a low temperature the microstructure mainly consisted of primary α and α′+β instead of α+β in Ti-6Al-4V ELI alloy, and the subsequent aging resulted in precipitation of some fine secondary α phase in the meta-stable β phase. The same result is obtained in this experiment which is confirmed by XRD test shown in Fig. 2(f). This illustrates that the Mf (the temperature at which the transformation of β to martensite α′ stops) of TC4-DT alloy is lower than room temperature.
Microstructure of sample after TA treatment as shown in Fig. 2(e) has the same morphology to that of DA treatment (Fig. 2(c)) though the cooling rate after deformation is different. The only difference is the larger size of primary α phase and secondary α phase and more volume fraction of primary α phase. This is not difficult to understand when coming to the microstructure evolution during every stage of TA. Water cooling after deformation maintains the distorted energy (see Fig. 3) in material to room temperature, and when the material is heated to the first temperature of 930 °C, the distorted energy together with the high temperature heating supplies with the driving force for recrystallization of both α and β. At the second heating of (900 °C, 1 h), element diffusion takes place further and leads to coarser recrystallized α. Figure 4(c) shows the microstructure of sample after TA treatment before low temperature aging. It can be seen that the amount of primary α phase is more than that in Fig. 4(a) which has only once annealing at 930 °C. Coarser secondary α clearly appears in the primary β matrix and grain boundary α is also precipitated along primary β grain. Low temperature aging makes the microstructure coarser.
Quantitative test was conducted through image analysis software and microstructure features including micro-constituents and morphology, primary α content (area fraction of primary α phase) and prior-β grain size, Db, grain boundary α width, la, secondary α thickness, laa, in the primary β matrix at different heat treatment conditions are summarized in Table 4. However, la in the specimen B was not confirmed due to its special microstructure characteristics. From Table 4, it can be concluded that the volume fraction of primary α and the sizes of α and β are mainly determined by the annealing temperature and cooling rate, and the same result was also obtained by SEMIATIN et al [8], while the width of secondary α and grain boundary α is mainly determined by the cooling rate [15,16] and the low temperature aging. It can be seen from Table 4 that higher annealing and aging temperature and lower cooling rate lead to the decrease of the volume fraction of primary α and the size of prior-β and the increase of the width of grain boundary α and secondary α.
In α+β alloys, the most important parameters controlling the mechanical properties are the volume fraction of transformed β, α colony size (primary β grain size) and the width of secondary α and grain boundary α [17]. Figure 5 shows the tensile property variations with the above mentioned microstructure parameters. As seen in Figs. 5(a) and (b), the volume fraction of transformed β phase and the prior-β grain size have the same effect on the tensile properties, that is, with the content and size increasing, the UTS, YS and reduction of area increase, although not so significantly for the reduction of area. The highest strength and reduction of area are obtained during STA treatment, whereas the lowest elongation is received. However, the widths of grain boundary α and secondary α have the opposite effect on the tensile properties, that is, with the width increasing, the tensile strength and reduction of area decline, and the elongation increases. In this experiment, the reduction of area has a contrary change with the elongation. From Fig. 8 it can be also seen that when the volume fraction of primary α, prior-β grain size and the widths of grain boundary α and secondary α within β grain vary in the specimens B, C and E, the effect on the tensile properties is not so significant. The sharp changes are reached for sample D compared with other samples.
Table 4 Microstructure features at different heat treatment conditions


Fig. 5 Tensile properties of TC4-DT alloy with different microstructure parameters of specimens B, C, D, E
Figure 5 shows the effects of microstructure parameters on the tensile properties. In fact, the tensile properties are the results of the combined function of all the factors [18], so when analyzing the relationship between the microstructure and tensile properties, this combined function should be taken into consideration. DONACHIE [19] found that the effectiveness of strengthening in titanium alloys appeared to center in the number and fineness of α/β phase boundaries. Annealing and rapid cooling, which maximized α/β boundaries for a fixed primary α content, along with aging, which may promote additional boundary structure, can significantly increase strength. In this study, STA has obtained the highest tensile strength but the lowest tensile ductility. The reason can be explained with the theory above. Water cooling on one hand hinders the growth of primary α, which gives rise to more β phase (73.95%) when cooling to room temperature, on the other hand makes the grain boundary α and secondary α precipitated finer during aging (0.37 μm and 0.2 μm respectively). This can augment the grain boundaries which are the most effective way to obstacle the dislocation movement [20]. Figure 6(a) shows the TEM image of the specimen D under STA. It can be seen that besides the primary α, the secondary α is very fine with the average thickness of 0.2 μm, and the crystal orientation is also different from each other. Generally speaking, the finer the β grain size is, the higher strength it will be obtained according to the Hall-Patch formula. However, in the STA situation, the β grain size is the largest with the diameter of 14.06 μm, hence it may be accounted for that the positive effect of finer acicular α on strength exceeded the negative effect of the large β grain size. The second factor influencing the strength and ductility in STA can be ascribed to the retained α′ which did not decompose to α during aging. XRD and TEM have confirmed the existence of the martensite α′ as shown in Fig. 2(f) and Fig. 6(b). According to Ref. [21], the contribution of martensite α′ to strength is only moderate but it can deteriorate the ductility severely, so caution should be exercised to avoid α′ phase in heat treatment [14]. However, in the solution treatment and aging, the ductility is still at a high level compared with other research owing to the low content of martensite α′.
Tensile ductility is mainly determined by two factors, one of which is crack nucleation resistance being the dominating one, and the other is crack propagation resistance with a certain influence [11,22]. The former depends strongly on effective slip length (α colony size) and α layers at β grain boundaries [10,23]; the shorter the slip length and grain boundary α are, the higher ductility it will be acquired. In this work, the highest elongation was obtained in the deformed specimen A due to the nonexistence of grain boundary α. However, the ductility in all the heat treatments remains at a high level. That may be ascribed to the small β grain size (the largest one is 14.06 μm in solution treatment and aging) leading to smaller α colony size.

Fig. 6 TEM images of solution treated and aged specimen
4 Conclusions
1) Thermomechanical treatments at α+β phase field have a significant influence on the morphology of α and volume fraction of primary α, but have a less effect on micro-constituent. The volume fraction of primary α and the size of prior-β decrease with the increase of annealing temperature and the slower the cooling rate, whereas the width of grain boundary α and secondary α increases with the decrease of the cooling rate and the higher the aging temperature.
2) The highest tensile strength is obtained for the STA specimen at the expense of slight decrease of ductility with the UTS, YS, elongation, reduction of area 1100 MPa, 1030 MPa, 13%, 53% respectively, while the compromise of strength and ductility has been reached by DA with the above values 940 MPa, 887.5 MPa, 15%, 51%, respectively.
3) Analysis between microstructure parameters and tensile properties shows that with the volume fraction of transformed β phase and the prior-β grain size increasing, the UTS, YS and reduction of area increase, and the elongation decreases, whereas the width of grain boundary α and secondary α shows a contrary effect on the tensile properties.
4) A large amount of β phase plus finer grain boundary α and secondary α and some retained α′ improve the strength greatly during the STA but have a negative effect on ductility. Elimination of grain boundary α can enhance ductility with no heat treatment and mill annealing conditions and small β grain size improves the ductility by reducing the slip length or grain boundary α length under all conditions.
References
[1] BOYER R R. An overview on the use of titanium in the aerospace industry [J]. Materials Science and Engineering A, 1996, 213: 103-114.
[2] WAND K L, LU S Q, FU M W, LI X, DONG X J. Optimization of β/near-β forging process parameters of Ti-6.5Al-3.5Mo-1.5Zr- 0.3Si by using processing maps [J]. Materials Characterization, 2009, 60: 492-498.
[3] PENG X N, GUO H Z, WAND T, YAO Z K. Effects of β treatments on microstructures and mechanical properties of TC4-DT titanium alloy [J]. Materials Science and Engineering A, 2012, 533: 55-63.
[4] SESHACARYULU T, MEDEIROS S C, MORGAN J T, MALAS J C, FRAZIER W G, PRASAD Y V R K. Hot deformation and microstructural damage mechanisms in extra-low interstitial (ELI) grade Ti-6Al-4V [J]. Materials Science and Engineering A, 2000, 279: 289-299.
[5] DING R, GUO Z X, WILSON A. Microstructure evolution of a Ti-6Al-4V alloy during thermo-mechanical processing [J]. Materials Science and Engineering A, 2002, 327: 233-245.
[6] WANG T, GUO H Z, ZHAO Y, YAO Z K, GUO Y G, DOU Z L. Effect of isothermal deformation amount on microstructure and properties of 600 °C high temperature titanium alloy TG6 [J]. Rare Metal Materials and Engineering, 2010, 39: 1540-1544.
[7] VENKATESH B D, CHEN D L, BHOLE S D. Effect of heat treatment on mechanical properties of Ti-6Al-4V ELI alloy [J]. Materials Science and Engineering A, 2009, 506: 117-124.
[8] SEMIATIN S L, KNISLEY S L, FAGIN P N, ZHANG F, BARKER D R. Microstructure evolution during alpha-beta heat treatment of Ti-6Al-4V [J]. Metallurgical Materials Transaction A, 2003, 34: 2377-2386.
[9] FILIP R, KUBIAK K, ZIAJA W, SIENIAWSKI J. The effect of microstructure on the mechanical properties of two-phase titanium alloys [J]. Journal of Materials Processing and Technology, 2003, 133: 84-89.
[10] LUTJERING G, WILLIAMS J C. Titanium [M]. New York: Berlin Heidelberg, 2007.
[11] SAUER C, LUETJERING G. Thermo-mechanical processing of high strength β-titanium alloys and effects on microstructure and properties [J]. Journal of Materials Processing and Technology, 2001, 117: 311-317.
[12] MEYER L W, KRUGER L, SOMMER K, HALLE T, HOCHAUF M. Dynamic strength and failure behavior of titanium alloy Ti-6Al-4V for a variation of heat treatments [J]. Mechanics of Time-depend Materials, 2008, 12: 237-247.
[13] VO P, JAHAZI M, YUE S. Recrystallization during thermomechanical processing of IMI834 [J]. Metallurgical Materials Transaction A, 2008, 39: 2965-2980.
[14] JOVANOVIC M T, TADIC S, ZEC S, MISKOVIC Z, BOBIC I. The effect of annealing temperatures and cooling rates on microstructure and mechanical properties of investment cast Ti-6Al-4V alloy [J]. Materials and Design, 2006, 27: 192-199.
[15] LINDEMANN J, WAGNER L. Microtextural effects on mechanical properties of duplex microstructures in α+β titanium alloys [J]. Materials Science and Engineering A, 1999, 263: 137-141.
[16] ZHU S, YANG H, GUO L G, FAN X G. Effect of cooling rate on microstructure evolution during α/β heat treatment of TA15 titanium alloy [J]. Materials Characterization, 2012, 70: 101-110.
[17] ANKEM S, MARGOLIN H, GREENE C A, NEUBERGER B W, OBERSON P G. Mechanical properties of alloys consisting of two ductile phases [J]. Progress in Materials Science, 2006, 51: 632-709.
[18] WANG T, GUO H Z, WANG Y W, PENG X N, ZHAO Y, YAO Z K. The effect of microstructure on tensile properties, deformation mechanisms and fracture models of TG6 high temperature titanium alloy [J]. Materials Science and Engineering A, 2011, 528: 2370-2379.
[19] DONACHIE M J Jr. Titanium—A technical guide [M]. Metals Park, Ohio: American Society for Metals, 1988.
[20] ZENG W D, ZHOU Y G. Influence of cooling rate on microstructure and mechanical properties of beta processed TC11 alloy [J]. Acta Metallurgical Sinic, 2002, 38: 1273-1276.
[21] MATSUMOTO H, YONEDA H, SATO K, KUROSU S, MAIRE E, FABREGUE D, KONNO T J, CHIBA A. Room-temperature ductility of Ti-6Al-4V alloy with α′ martensite microstructure [J]. Materials Science and Engineering A, 2011, 528: 1512-1520.
[22] SAUER C, LUETJERING G. Influence of α layers at β grain boundaries on mechanical properties of Ti-alloys [J]. Materials Science and Engineering A, 2001, 319-321: 393-397.
[23] LUETJERING G. Influence of processing on microstructure and mechanical properties of (α+β) titanium alloys [J]. Materials Science and Engineering A, 1998, 243: 32-45.
彭小娜,郭鸿镇,石志峰,秦 春,赵张龙
西北工业大学 材料学院,西安 710072
摘 要:研究热机械处理(两相区变形加普通退火、双重退火、固溶时效以及三重退火)对TC4-DT钛合金组织和力学性能的影响。结果表明,热机械处理对显微组织参数影响显著,随着退火和时效温度的升高及冷却速度的降低,初生α相的体积分数和原始β晶粒的尺寸降低,而晶界α和次生α相的宽度却升高。由于固溶时效处理获得了大量的β转变组织和细小的晶界α相和次生α相,合金强度最高,但伸长率不及其它条件的,其断裂强度、屈服强度、伸长率和断面收缩率分别为1100 MPa、1030 MPa、13%和53%,双重退火获得了良好的强度和塑性匹配,合金力学性能分别为940 MPa、887.5 MPa、15%和51%。组织参数和性能的关系表明,随着β转变组织的增多和原始β晶粒尺寸的增大,材料的强度和断面收缩率升高,而晶界α相和二次α相的宽度对力学性能的影响却呈相反趋势。此外,晶界α相含量的减少和原始β晶粒尺寸的降低有助于塑性的提高。
关键词:TC4-DT钛合金;热机械处理;显微组织;拉伸性能
(Edited by Xiang-qun LI)
Foundation item: Project (51101119) supported by the National Natural Science Foundation of China
Corresponding author: Xiao-na PENG; Tel/Fax: +86-28-88493744; E-mail: pengna945@163.com
DOI: 10.1016/S1003-6326(14)63111-3